Intraoral Biopsy at Shane Gonzalez blog

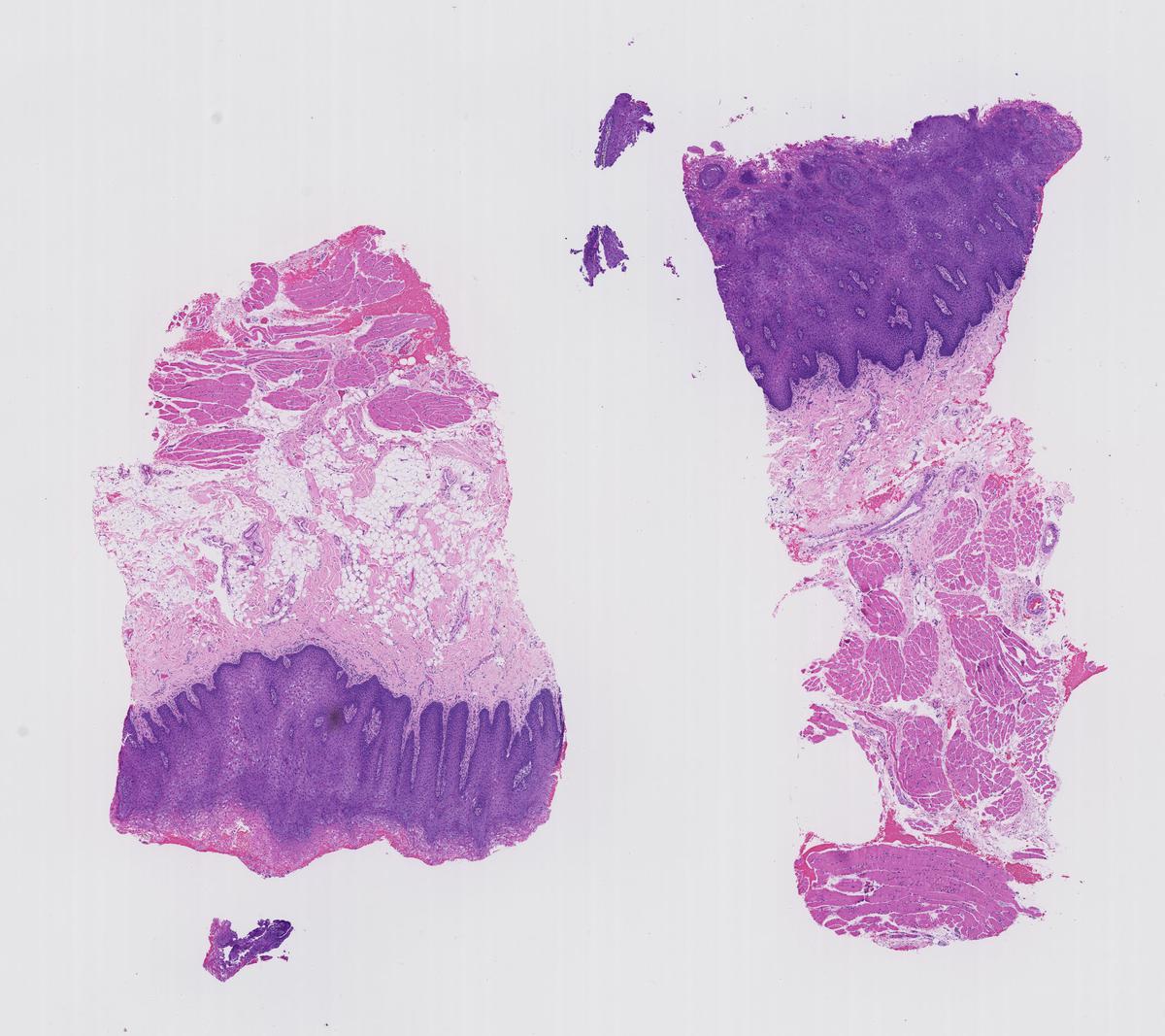
Intraoral Biopsy. Infiltration of local anesthetic (b) is followed. biopsy is indicated for the assessment of any unexplained oral mucosal abnormality that persists despite treatment or the removal of local irritants. incisional biopsy is used to sample a thick, keratotic region at the anterior aspect of the tongue. Those that use a sharp instrument to obtain tissue samples and those that use a suction device. a traditional tissue biopsy is the most reliable biopsy for diagnosing oral cancer, according to a 2022 review. oral biopsy surgery is a common procedure in dental practice that involves the incision, excision or punch of. This involves collecting a tissue sample from the area with suspected oral. a tissue biopsy is a method of obtaining soft tissues of the oral cavity or lymph nodes through surgery or special. intraoral biopsy techniques can be classified into two groups: Identify patients requiring a biopsy of an oral cavity. a biopsy is a procedure where a small piece of tissue is removed from an area so that it can be looked at closely under a.

PPT Principles of Differential diagnosis and BIOPSY PowerPoint Presentation ID1951886
from www.slideserve.com

Identify patients requiring a biopsy of an oral cavity. a traditional tissue biopsy is the most reliable biopsy for diagnosing oral cancer, according to a 2022 review. biopsy is indicated for the assessment of any unexplained oral mucosal abnormality that persists despite treatment or the removal of local irritants. a biopsy is a procedure where a small piece of tissue is removed from an area so that it can be looked at closely under a. intraoral biopsy techniques can be classified into two groups: incisional biopsy is used to sample a thick, keratotic region at the anterior aspect of the tongue. Those that use a sharp instrument to obtain tissue samples and those that use a suction device. Infiltration of local anesthetic (b) is followed. a tissue biopsy is a method of obtaining soft tissues of the oral cavity or lymph nodes through surgery or special. This involves collecting a tissue sample from the area with suspected oral.

PPT Principles of Differential diagnosis and BIOPSY PowerPoint Presentation ID1951886

Intraoral Biopsy oral biopsy surgery is a common procedure in dental practice that involves the incision, excision or punch of. a tissue biopsy is a method of obtaining soft tissues of the oral cavity or lymph nodes through surgery or special. Infiltration of local anesthetic (b) is followed. intraoral biopsy techniques can be classified into two groups: Those that use a sharp instrument to obtain tissue samples and those that use a suction device. oral biopsy surgery is a common procedure in dental practice that involves the incision, excision or punch of. a biopsy is a procedure where a small piece of tissue is removed from an area so that it can be looked at closely under a. incisional biopsy is used to sample a thick, keratotic region at the anterior aspect of the tongue. biopsy is indicated for the assessment of any unexplained oral mucosal abnormality that persists despite treatment or the removal of local irritants. a traditional tissue biopsy is the most reliable biopsy for diagnosing oral cancer, according to a 2022 review. This involves collecting a tissue sample from the area with suspected oral. Identify patients requiring a biopsy of an oral cavity.

pedometer connect to iphone - change eyebrow color facetune - garage song when i wake up in the morning - car garage somers road rugby - skylight cave sisters oregon - brake pads for child's bike - nest smoke and carbon monoxide detector yellow light - snack mix recipes easy - can you flip your pillow top mattress - windows xp freestyle - best coat for french bulldog uk - natural hair twist prices - how do clipless cycling shoes work - bread machine yeast rolls recipe - what are linguine noodles made of - graduation decorations cut - define stand in court - cat activity list - de winton property for sale - how to make fried chicken breast in cast iron skillet - cresco red line haze review - gas leak sickness symptoms - outsunny 4 6m double sided patio parasol sun umbrella - ford jubilee for sale nc - used yard machine snowblower